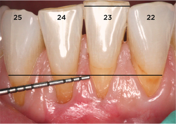
👉 ¿Qué es una recesión dental?
La recesión dental ocurre cuando la encía se retrae y deja expuesta parte de la raíz del diente. Esta exposición puede causar sensibilidad dental, molestias estéticas e incluso aumentar el riesgo de caries en la raíz o pérdida del diente si no se trata a tiempo.
🧐 ¿Por qué se produce?
Las causas más comunes incluyen:
Cepillado agresivo o con cepillos duros
Enfermedad periodontal (problemas en las encías)
Mala mordida o fuerzas excesivas al masticar
Uso inadecuado de ortodoncia
Factores genéticos
Bruxismo (rechinar los dientes)
Muchas veces, la recesión avanza de forma lenta y silenciosa, por lo que una revisión periódica con tu dentista es clave.

📆 ¿Cuándo debes acudir al dentista?
Si presentas alguno de estos signos, es hora de pedir una cita:
✅ Sensibilidad al frío, calor o alimentos dulces
✅ Encías retraídas o dientes que “lucen más largos”
✅ Molestias al cepillarte
✅ Inflamación o enrojecimiento de encías
✅ Dientes con movilidad
💡 Beneficios de tratar una recesión dental
Tratar las recesiones dentales no solo mejora la estética de tu sonrisa, sino que también previene complicaciones futuras. Algunos de los beneficios incluyen:
✔️ Disminución de la sensibilidad dental
✔️ Protección de la raíz del diente
✔️ Prevención de caries radiculares
✔️ Mejora estética y mayor confianza al sonreír
✔️ Estabilización del tejido gingival
Dependiendo del caso, el tratamiento puede ser tan sencillo como ajustar la técnica de cepillado, o bien requerir procedimientos como injertos de encía para recuperar el tejido perdido.
🏥 ¿Dónde puedo consultar sobre las recesiones dentales?
En Gil & Tafache Estudio Dental, contamos con un equipo de especialistas en encías que pueden evaluar tu caso y ofrecerte un tratamiento personalizado. Si notas alguno de los síntomas mencionados o simplemente quieres asegurarte de que todo esté en orden, no dudes en contactarnos.
📍 Ponte en contacto con nosotros y reserva tu cita. Estaremos encantados de ayudarte a cuidar tu sonrisa desde la raíz.
«Financiado por la Unión Europea – NextGenerationEU. Sin embargo, los puntos de vista y las opiniones expresadas son únicamente los del autor o autores y no reflejan necesariamente los de la Unión Europea o la Comisión Europea. Ni la Unión Europea ni la Comisión Europea pueden ser consideradas responsables de las mismas»