Las manchas en el esmalte dental son una consulta frecuente en nuestra clínica. Pueden afectar tanto a la estética como, en algunos casos, a la salud de los dientes. En Gil & Tafache Estudio Dental en Las Palmas, te contamos por qué aparecen y cómo tratarlas para recuperar una sonrisa uniforme y luminosa.
¿Por qué aparecen manchas en el esmalte dental?
Las manchas dentales pueden tener distintos orígenes y cada tipo requiere un tratamiento específico. Las causas más habituales son:
✅ Pigmentación externa
Aparecen en la superficie del diente por acumulación de pigmentos de:
Café, té, vino tinto
Tabaco
Bebidas carbonatadas
Salsa de soja, curry y otros alimentos con colorantes
Mala higiene dental
Estas manchas suelen ser superficiales y se eliminan con una limpieza profesional o un tratamiento de pulido y aeropulido (airflow).
.jpg)
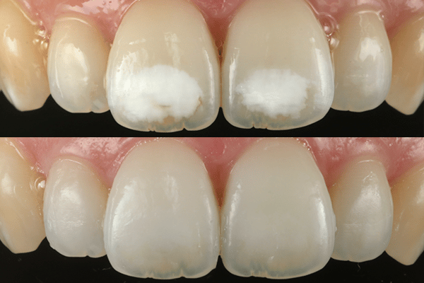
✅ Manchas internas (intrínsecas)
Se producen dentro del esmalte o la dentina y pueden deberse a:
Hipoplasia del esmalte (defecto en su formación)
Exceso de flúor durante la infancia (fluorosis)
Manchas por medicamentos (como tetraciclinas en etapas de desarrollo dental)
Traumatismos en dientes temporales o permanentes
Estas manchas requieren tratamientos más avanzados que mejoren la estructura o el color del diente.

Tipos de manchas más comunes
Manchas amarillas o marrones → Tabaquismo, café, placa, caries
Manchas blancas → Descalcificación, hipoplasia o fluorosis
Manchas grises → Traumatismos o tratamientos previos
Manchas oscuras localizadas → Caries o restauraciones deterioradas
Identificar el tipo y origen es clave para elegir el tratamiento adecuado.
Tratamientos para las manchas en los dientes
En Gil & Tafache Estudio Dental personalizamos el tratamiento según la causa:
| Causa de la mancha | Tratamiento recomendado |
|---|---|
| Pigmentación externa | Limpieza profesional, aeropulido |
| Descalcificación | Remineralización, infiltración dental |
| Fluorosis | Microabrasión, infiltración, carillas |
| Tetraciclinas | Blanqueamiento profesional + carillas en casos severos |
| Traumatismo | Blanqueamiento interno o reconstrucción |
| Caries | Eliminación de caries + empaste estético |
¿Se pueden prevenir las manchas dentales?
Sí. Recomendamos:
Correcta higiene bucodental
Uso diario de hilo dental o cepillos interdentales
Reducir bebidas pigmentadas
Evitar el tabaco
Revisión profesional cada 6 meses
Uso adecuado de flúor en niños
¿Tienes manchas en los dientes?
Cada caso es único. Ven a Gil & Tafache Estudio Dental en Las Palmas para una valoración personalizada. Nuestro equipo te ofrecerá el tratamiento más adecuado para devolver uniformidad y luminosidad a tu sonrisa.
📞 Solicita tu cita y mejora la estética de tu sonrisa desde hoy.
«Financiado por la Unión Europea – NextGenerationEU. Sin embargo, los puntos de vista y las opiniones expresadas son únicamente los del autor o autores y no reflejan necesariamente los de la Unión Europea o la Comisión Europea. Ni la Unión Europea ni la Comisión Europea pueden ser consideradas responsables de las mismas»