Los traumatismos dentales son golpes o lesiones que afectan a los dientes, encías o estructuras que los rodean. Pueden ocurrir a cualquier edad, aunque son especialmente frecuentes en niños y adolescentes, así como en deportistas o personas activas.
En Gil & Tafache Estudio Dental, en Las Palmas, te explicamos cómo actuar ante un diente golpeado, roto o avulsionado y cuáles son los tratamientos más habituales.
¿Cuáles son las causas más comunes de un traumatismo dental?
Los traumatismos dentales pueden producirse por:
Caídas accidentales
Golpes durante actividades deportivas
Accidentes de tráfico
Altercados o impactos directos
Morder objetos o alimentos muy duros
Dependiendo de la intensidad del golpe y del estado previo del diente, el daño puede variar desde una pequeña fractura hasta la pérdida completa del diente.
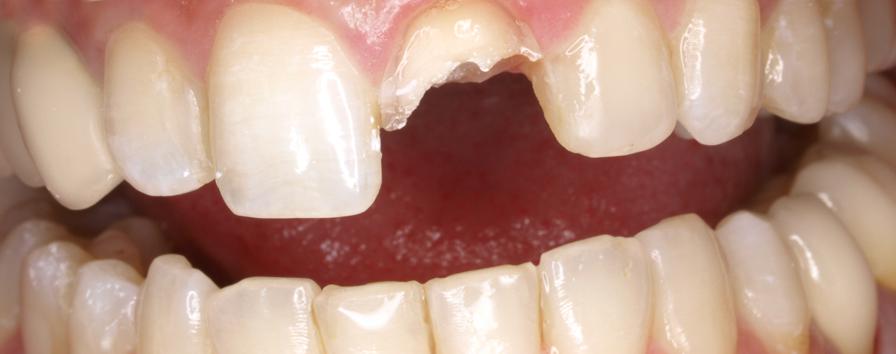
Tipos de traumatismos dentales
Los traumatismos pueden afectar de formas distintas:
| Tipo de traumatismo | Descripción |
|---|---|
| Fisura o fractura dental | Pequeña línea o fragmento roto del diente |
| Luxación | El diente se desplaza, se afloja o cambia de posición |
| Avulsión | El diente sale completamente de su alveolo |
| Fractura radicular | Rotura en la raíz del diente |
| Lesiones en encías o labios | Cortes o hematomas en tejidos blandos |
La gravedad del trauma determinará el tratamiento.

¿Qué hacer ante un traumatismo dental?
Actuar rápidamente aumenta la probabilidad de salvar el diente y evitar complicaciones.
✅ Si el diente se rompe
Recupera el fragmento si es posible
Límpialo suavemente con suero o agua
Guarda el fragmento en suero, leche o saliva
Acude urgentemente a un dentista
✅ Si el diente se mueve o está flojo
No lo fuerces
Evita masticar con esa zona
Visita la clínica cuanto antes
✅ Si el diente sale completamente (avulsión)
TIEMPO MÁXIMO: 60 minutos
Sujetarlo por la corona (no tocar la raíz)
Limpiarlo con suero si está sucio
Intentar recolocarlo suavemente en su posición si el paciente es adulto y está seguro
Si no, conservarlo en:
Suero fisiológico
Leche
Saliva (bajo la lengua con cuidado)
Acudir inmediatamente a la clínica
En niños, no intentar recolocar dientes de leche —acudir directamente al odontopediatra.
Tratamiento de los traumatismos dentales
Dependiendo del daño, podemos necesitar:
Sellado o reconstrucción estética
Endodoncia (tratamiento de nervio)
Férula dental para estabilizar el diente
Colocación de fragmento dental
Carillas o coronas
Implante dental en casos irreversibles
Además, recomendamos revisiones periódicas tras el trauma, ya que algunos efectos pueden aparecer con el tiempo.
¿Se pueden prevenir los traumatismos?
Sí, con medidas sencillas:
Uso de protectores bucales en deportes de contacto
Evitar morder hielo, huesos o objetos duros
Supervisión en parques y juegos infantiles
Atención dental temprana en caso de caídas

En Gil & Tafache Estudio Dental estamos para ayudarte
Si tú o tu hijo sufrís un traumatismo dental, contacta con nosotros lo antes posible.
En nuestra clínica en Las Palmas contamos con la tecnología y experiencia para tratar urgencias dentales y restaurar la salud y estética de tu sonrisa.
✅ Atención rápida y personalizada
✅ Tratamiento conservador siempre que sea posible
✅ Equipo experto en estética y odontopediatría
📞 Llámanos y te atenderemos con prioridad en urgencias dentales.
«Financiado por la Unión Europea – NextGenerationEU. Sin embargo, los puntos de vista y las opiniones expresadas son únicamente los del autor o autores y no reflejan necesariamente los de la Unión Europea o la Comisión Europea. Ni la Unión Europea ni la Comisión Europea pueden ser consideradas responsables de las mismas»